漳州医肤堂皮肤病专科
Zhangzhou Yifutang Dermatology Hospital
漳州医肤堂皮肤病专科
0596-2255120
热线电话甲钴胺用于皮肤病真的不是用错药吗?
2024-09-18 10:04:17
在发药窗口偶尔会碰到病人询问:药师您好,我是来看皮肤病的,可是医生给我开的甲钴胺这个药是治疗神经病的,是不是药开错了啊?正如小编微信好友朋友圈提出的疑问是一样的,那事实真的是这样么?
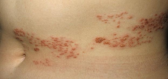
带状疱疹

上一篇:夏季双手小水疱,日常护理很重要
下一篇:小小尘螨与过敏-漳州医肤堂